파라인플루엔자 바이러스 증상, 잠복기, 전염기간부터 장염·폐렴·결막염 발생, 검사·치료·입원 기준, 어린이집 등원 기준, 성인·소아 구분, 법정 감염병 신고 및 보험 대비까지 체계적으로 정리했습니다.

1. 파라인플루엔자 바이러스란?
- HPIV (Human Parainfluenza Virus) 는 파라미피코바이러스과에 속하는 RNA 바이러스로, 상·하기도 감염을 일으킵니다
- HPIV‑1·‑2는 크룹의 주요 원인, HPIV‑3는 기관지염·폐렴과 관련이 크며, HPIV‑4는 비교적 경증입니다
2. 잠복기 & 전염 기간
- 잠복기는 감염 후 2~7일 이내입니다
- 전염 경로는 기침·재채기 비말, 접촉(장난감·문손잡이), 비말 침투, 또는 환자와의 밀접 접촉을 통해 이루어집니다 .
- 전염 기간은 증상 발생 전부터 있으며, 보통 초기 증상 7–10일 동안 가장 전염력이 강합니다



3. 주요 증상
- 상기도 감염: 열, 콧물, 코막힘, 기침, 목 통증, 재채기, 귀 통증 등
- 하기도 감염:
- 크룹: 개 짖는 듯한 기침, 쉰 목소리, 천명음
- 기관지염·세기관지염: 천명음, 호흡곤란, 흉부 함몰 조짐
- 폐렴: 흉부 수포음, 호흡곤란, 청색증 발생 가능



4. 장염 & 결막염
- 소화기 증상: 일부 환자에서는 구토, 설사, 복통이 동반되는 장염 증상이 나타납니다 .
- 눈 질환: 결막염으로 인한 충혈, 눈곱, 눈물 증가 같은 “눈 감기” 증상이 나타날 수 있습니다 .
5. 연령대별 중증도 & 입원 기준
| 대상 | 행동 경향 |
| 영·유아 | 호흡기 증상 심해지면 입원 치료, 폐렴·크룹 진단 시 집중 관리 . |
| 성인 | 보통 상기도 감염 수준이나 면역저하자·노인은 폐렴까지 가능 . |
- 입원 권고 조건: 고열·호흡곤란·산소포화저하·천명음·청색증 등 응급증상 발생 시



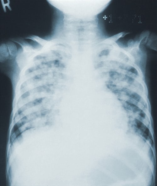
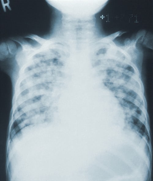
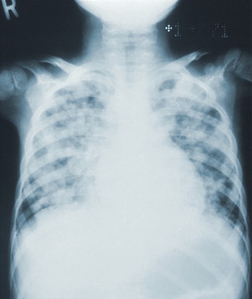
6. 진단 & 검사
- 검사 방법: 인두/비인두 도말 후 PCR 또는 항원검사로 진단 .
- 영상 검사: 폐렴 의심 시 X-ray 검사로 흉부 상태 확인 필요 .
7. 치료 & 약물
- 항바이러스제 없음, 치료는 대증치료 중심입니다 .
- 해열제, 수액 보충, 흡입·산소치료, 스테로이드(크룹 시) 등 포함 .
- 항생제는 2차 세균 감염 증상 시에만 사용합니다 .



8. 법정 감염병 & 예방 조치
- 법정 전염병(급성호흡기감염증)으로 지정되어 유행 시 신고 의무가 있습니다
- 예방 수칙:
- 비눗물 손 씻기, 손 세정제 사용
- 마스크 착용, 기침 예절
- 장난감·교구·문 손잡이 등 표면 소독 .
- 등원 기준: 열 24시간 이상 없음 + 호흡기 증상 호전 + 의사 진단 후 등원 권장입니다.
9. 보험 대비
- PCR 검사·입원·산소치료 등은 실손보험 보장 대상입니다.
- 중환자실 입원이나 폐렴 발생 시 중증질환 특약 확인 필요합니다.



10. 자주 묻는 질문 (FAQ)
Q1. 파라인플루엔자와 독감 차이는 뭔가요?
– 독감(A/B)은 인플루엔자 바이러스가 원인, 백신·항바이러스제가 있지만, 파라인플루엔자는 HPIV로 백신·특효 치료제 없으며, 크룹·기관지염·페렴 특히 어린이에서 흔합니다
Q2. 기침·재채기만 하는데 검사가 필요한가요?
– 일반 감기로 오인할 수 있으나, 천명음·호흡곤란·경미한 폐렴 의심 증상 발생 시 PCR 검사 필요합니다.
Q3. 성인도 폐렴 가능성이 있나요?
– 네. 면역이 약하거나 노인은 폐렴·기관지염 가능성이 있으며, 영상 검사 및 입원 치료 필요할 수 있습니다.
🔑 핵심 요약
- 파라인플루엔자 바이러스(HPIV)는 어린이·성인 모두에서 기침, 열, 콧물, 천명음, 폐렴, 결막염, 장염을 유발할 수 있습니다.
- 잠복기 2~7일, 전염은 증상 발현 전부터 7~10일간 지속됩니다.
- 치료는 대증치료가 기본, 항생제는 2차 감염 시에만 사용, 응급 상황 발생 시 입원 치료가 필요합니다.
- 법정 감염병으로 지정되어 신고·예방 조치가 필수이며, 등원 기준에 맞춰야 합니다.
- 검사·입원·치료 비용은 실손/중환자 보험으로 대비하는 것이 좋습니다.
<함께 보면 좋은 글>
2025.05.11 - [💬 챗GPT 활용팁] - 현실적인 다이어트 식단, 챗GPT와 함께 구성해봤더니 달라진 것들
현실적인 다이어트 식단, 챗GPT와 함께 구성해봤더니 달라진 것들
현실적인 다이어트 식단을 챗GPT와 함께 구성해 실천했습니다. 냉장고에 있는 재료로 식단 구성, 유튜브 레시피 저장·활용법까지 구체적으로 정리했습니다. 📍 혼자 식단 짜는 게 너무 어려웠
diet.tisyeon.com
2025.05.11 - [🧪 감량 실험실] - 스위치온 다이어트 4주 후기: 변비·생리·정체기 다 겪고도 성공한 이유
스위치온 다이어트 4주 후기: 변비·생리·정체기 다 겪고도 성공한 이유
스위치온 다이어트 4주 후기: 88kg에서 79.9kg까지 감량한 실제 경험을 공유합니다. 체지방 변화, 식단, 운동 루틴, 생리주기 정체기, 변비까지 리얼하게 정리했습니다.📍 왜 스위치온 다이어트를
diet.tisyeon.com